不正な歯並び症例|京大病院近くの歯医者|聖護院やぎ歯科・矯正歯科|京大病院・神宮丸太町駅
-
京都府京都市左京区聖護院山王町28-62

| 診療時間 |
月 |
火 |
水 |
木 |
金 |
土 |
日 |
| 9:00 – 18:00 |
● |
● |
/ |
● |
● |
▲ |
/ |
▲…土曜日は午前09:00〜13:00、午後14:00〜17:00です
休診日…水曜・日曜・祝日
▲ 9:00-13:00 / 14:00-17:00 休診…水・日・祝
不正な歯並び症例|京大病院近くの歯医者|聖護院やぎ歯科・矯正歯科|京大病院・神宮丸太町駅
診療時間 9:00-18:00(土曜午後は17:00まで)休診:水・日・祝
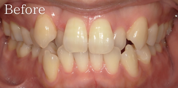
八重歯・乱杭歯(叢生)
30代女性 ガタガタ
サムネイルをクリックタップすると
大きく表示されます。
- 施術名
- インビザライン治療
- 施術の説明
- マウスピース矯正によって歯を移動しています。
- 施術の副作用(リスク)
- 矯正治療により歯根吸収、歯の癒着により移動しないことがあります。腫れや疼痛を感じる、違和感を感じるなどの症状を生じることがあります。
- 費用
- 88万円(税込)
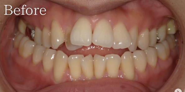
20代女性 八重歯(上顎)
サムネイルをクリックタップすると
大きく表示されます。
- 施術名
- インビザライン治療
- 施術の説明
- マウスピース矯正によって歯を移動しています。
- 施術の副作用(リスク)
- 矯正治療により歯根吸収、歯の癒着により移動しないことがあります。腫れや疼痛を感じる、違和感を感じるなどの症状を生じることがあります。
- 費用
- 88万円(税込)
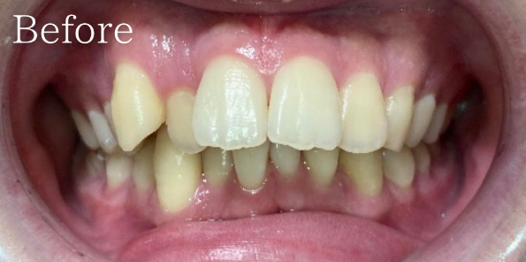
20代男性 叢生 抜歯症例
サムネイルをクリックタップすると
大きく表示されます。
- 施術名
- インビザライン治療
- 施術の説明
- マウスピース矯正によって歯を移動しています。
- 施術の副作用(リスク)
- 矯正治療により歯根吸収、歯の癒着により移動しないことがあります。腫れや疼痛を感じる、違和感を感じるなどの症状を生じることがあります。
- 費用
- インビザライン 90万円~+消費税
20代女性 叢生 抜歯症例
サムネイルをクリックタップすると
大きく表示されます。
- 施術名
- インビザライン治療
- 施術の説明
- マウスピース矯正によって歯を移動しています。
- 施術の副作用(リスク)
- 矯正治療により歯根吸収、歯の癒着により移動しないことがあります。腫れや疼痛を感じる、違和感を感じるなどの症状を生じることがあります。
- 費用
- インビザライン 90万円~+消費税
20代男性 重度叢生 下顎のみ抜歯症例
サムネイルをクリックタップすると
大きく表示されます。
- 施術名
- インビザライン治療
- 施術の説明
- マウスピース矯正によって歯を移動しています。
- 施術の副作用(リスク)
- 矯正治療により歯根吸収、歯の癒着により移動しないことがあります。腫れや疼痛を感じる、違和感を感じるなどの症状を生じることがあります。
- 費用
- インビザライン 90万円~+消費税
すきっ歯
20代男性 すきっ歯
サムネイルをクリックタップすると
大きく表示されます。
- 施術名
- インビザライン治療
- 施術の説明
- マウスピース矯正によって歯を移動しています。
- 施術の副作用(リスク)
- 矯正治療により歯根吸収、歯の癒着により移動しないことがあります。腫れや疼痛を感じる、違和感を感じるなどの症状を生じることがあります。
- 費用
- 88万円(税込)
20代女性 すきっ歯
サムネイルをクリックタップすると
大きく表示されます。
- 施術名
- インビザライン治療
- 施術の説明
- マウスピース矯正によって歯を移動しています。
- 施術の副作用(リスク)
- 矯正治療により歯根吸収、歯の癒着により移動しないことがあります。腫れや疼痛を感じる、違和感を感じるなどの症状を生じることがあります。
- 費用
- 88万円(税込)
8歳女児 すきっ歯
サムネイルをクリックタップすると
大きく表示されます。
- 施術名
- インビザライン治療
- 施術の説明
- マウスピース矯正によって歯を移動しています。
- 施術の副作用(リスク)
- 矯正治療により歯根吸収、歯の癒着により移動しないことがあります。腫れや疼痛を感じる、違和感を感じるなどの症状を生じることがあります。
- 費用
- インビザライン 55万円~+消費税
40代女性 すきっ歯
サムネイルをクリックタップすると
大きく表示されます。
- 施術名
- インビザライン治療とセラミック治療
- 施術の説明
- マウスピース矯正によって歯を移動しセラミック治療により歯の形態を修正しています。
- 施術の副作用(リスク)
- 矯正治療により歯根吸収、歯の癒着により移動しないことがあります。腫れや疼痛を感じる、違和感を感じるなどの症状を生じることがあります。
- 費用
- インビザライン 75万円~+消費税
セラミック治療 99,000円+消費税
オープンバイト(開咬)
20代女性 開咬
サムネイルをクリックタップすると
大きく表示されます。
- 施術名
- インビザライン治療
- 施術の説明
- マウスピース矯正によって歯を移動しています。
- 施術の副作用(リスク)
- 矯正治療により歯根吸収、歯の癒着により移動しないことがあります。腫れや疼痛を感じる、違和感を感じるなどの症状を生じることがあります。
- 費用
- 88万円(税込)
20代女性 開咬
サムネイルをクリックタップすると
大きく表示されます。
- 施術名
- インビザライン治療
- 施術の説明
- マウスピース矯正によって歯を移動しています。
- 施術の副作用(リスク)
- 矯正治療により歯根吸収、歯の癒着により移動しないことがあります。腫れや疼痛を感じる、違和感を感じるなどの症状を生じることがあります。
- 費用
- 88万円(税込)
受け口(反対咬合)
7歳男児 反対咬合
サムネイルをクリックタップすると
大きく表示されます。
- 施術名
- インビザライン治療
- 施術の説明
- マウスピース矯正によって歯を移動しています。
- 施術の副作用(リスク)
- 矯正治療により歯根吸収、歯の癒着により移動しないことがあります。腫れや疼痛を感じる、違和感を感じるなどの症状を生じることがあります。
- 費用
- インビザライン 55万円~+消費税
交叉咬合
20代女性 交叉咬合
サムネイルをクリックタップすると
大きく表示されます。
- 施術名
- インビザライン治療
- 施術の説明
- マウスピース矯正によって歯を移動しています。
- 施術の副作用(リスク)
- 矯正治療により歯根吸収、歯の癒着により移動しないことがあります。腫れや疼痛を感じる、違和感を感じるなどの症状を生じることがあります。
- 費用
- 88万円(税込)
10代女性 交叉咬合
サムネイルをクリックタップすると
大きく表示されます。
- 施術名
- インビザライン治療
- 施術の説明
- マウスピース矯正によって歯を移動しています。
- 施術の副作用(リスク)
- 矯正治療により歯根吸収、歯の癒着により移動しないことがあります。腫れや疼痛を感じる、違和感を感じるなどの症状を生じることがあります。
- 費用
- 88万円(税込)
出っ歯(上顎前突)
20代男性 出っ歯(上顎前突)
サムネイルをクリックタップすると
大きく表示されます。
- 施術名
- インビザライン治療
- 施術の説明
- 抜歯しマウスピース矯正によって歯を移動しています。
- 施術の副作用(リスク)
- 矯正治療により歯根吸収、歯の癒着により移動しないことがあります。腫れや疼痛を感じる、違和感を感じるなどの症状を生じることがあります。
- 費用
- 99万円(税込)