|京大病院近くの歯医者|聖護院やぎ歯科・矯正歯科|京大病院・神宮丸太町駅
-
京都府京都市左京区聖護院山王町28-62

| 診療時間 |
月 |
火 |
水 |
木 |
金 |
土 |
日 |
| 9:00 – 18:00 |
● |
● |
/ |
● |
● |
▲ |
/ |
▲…土曜日は午前09:00〜13:00、午後14:00〜17:00です
休診日…水曜・日曜・祝日
▲ 9:00-13:00 / 14:00-17:00 休診…水・日・祝
|京大病院近くの歯医者|聖護院やぎ歯科・矯正歯科|京大病院・神宮丸太町駅
診療時間 9:00-18:00(土曜午後は17:00まで)休診:水・日・祝
- ホーム
- 症例
- 60代女性 AGC(全顎インプラント)②
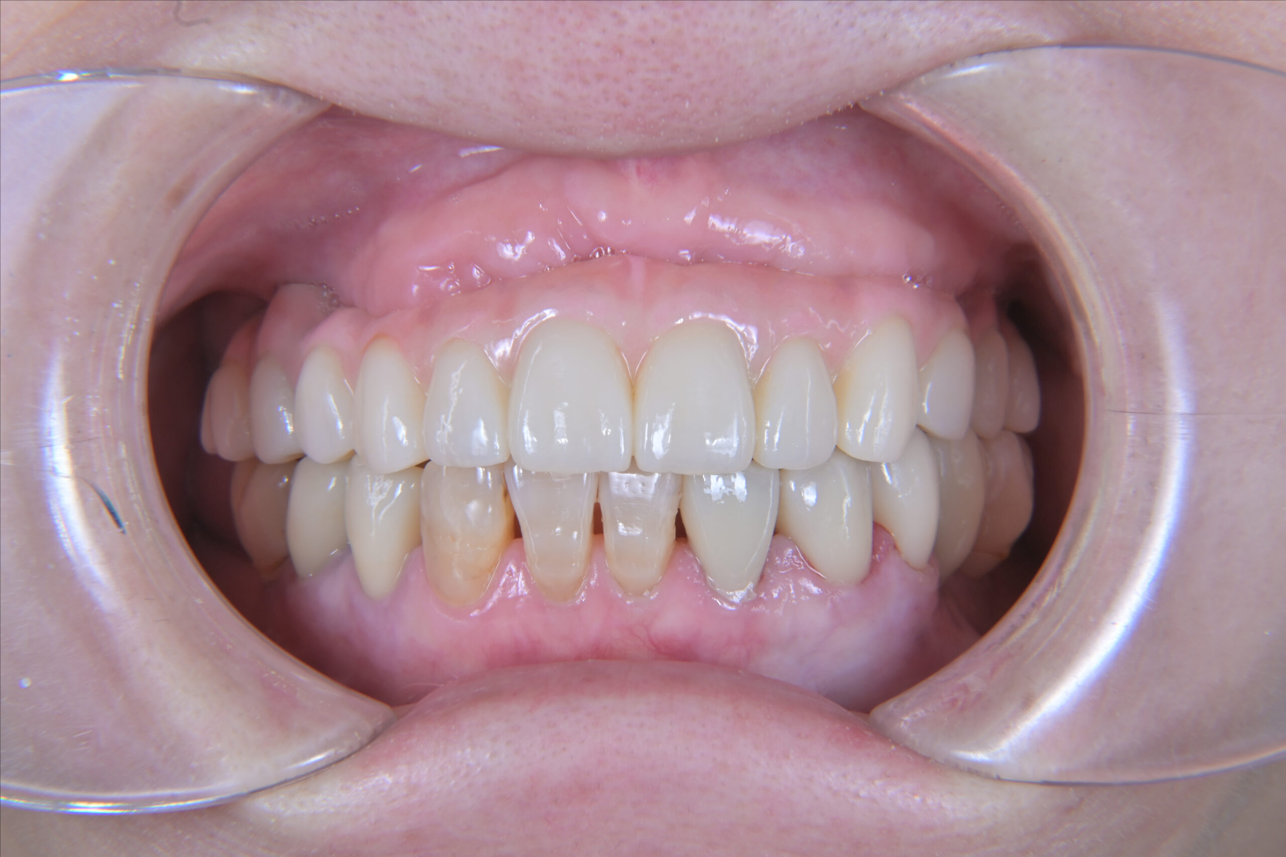
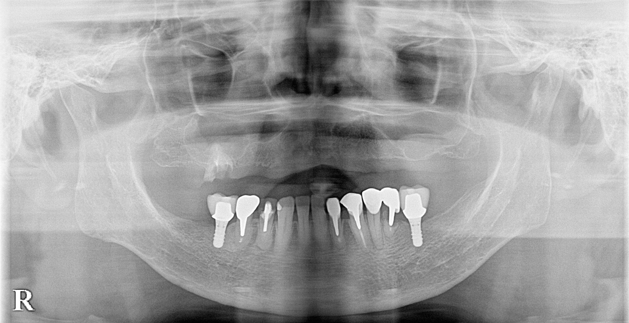
60代女性 AGC(全顎インプラント)
サムネイルをクリックタップすると
大きく表示されます。
- 施術名
- AGC(全顎インプラント)治療
- 主訴
- 入れ歯を卒業したいと、全顎的なインプラント治療を決意されました。
- 施術の説明
- 特殊な「AGC構造」で作られるインプラントブリッジは、ネジも接着剤も使わず高精度の嵌合で固定されます。この患者様は6本で連結されており、簡単には外れませんが、専用器具で着脱可能です。丸洗いできるため衛生的で、将来的に介護が必要な場合も対応しやすいなどの特徴があります。
- 施術の副作用(リスク)
- 腫れや疼痛を感じる、違和感を感じるなどの症状を生じることがあります。
- 費用
- 520万円(税込)